コミュニケーション重視で
進める治療
About
患者様のご希望やご不安なお気持ちに寄り添いながら、質の高い治療のご提供を目指します。
また、治療中のご負担を減らせるよう、痛みに配慮した治療を行います。
保険診療と自由診療の両方に対応
Introduction
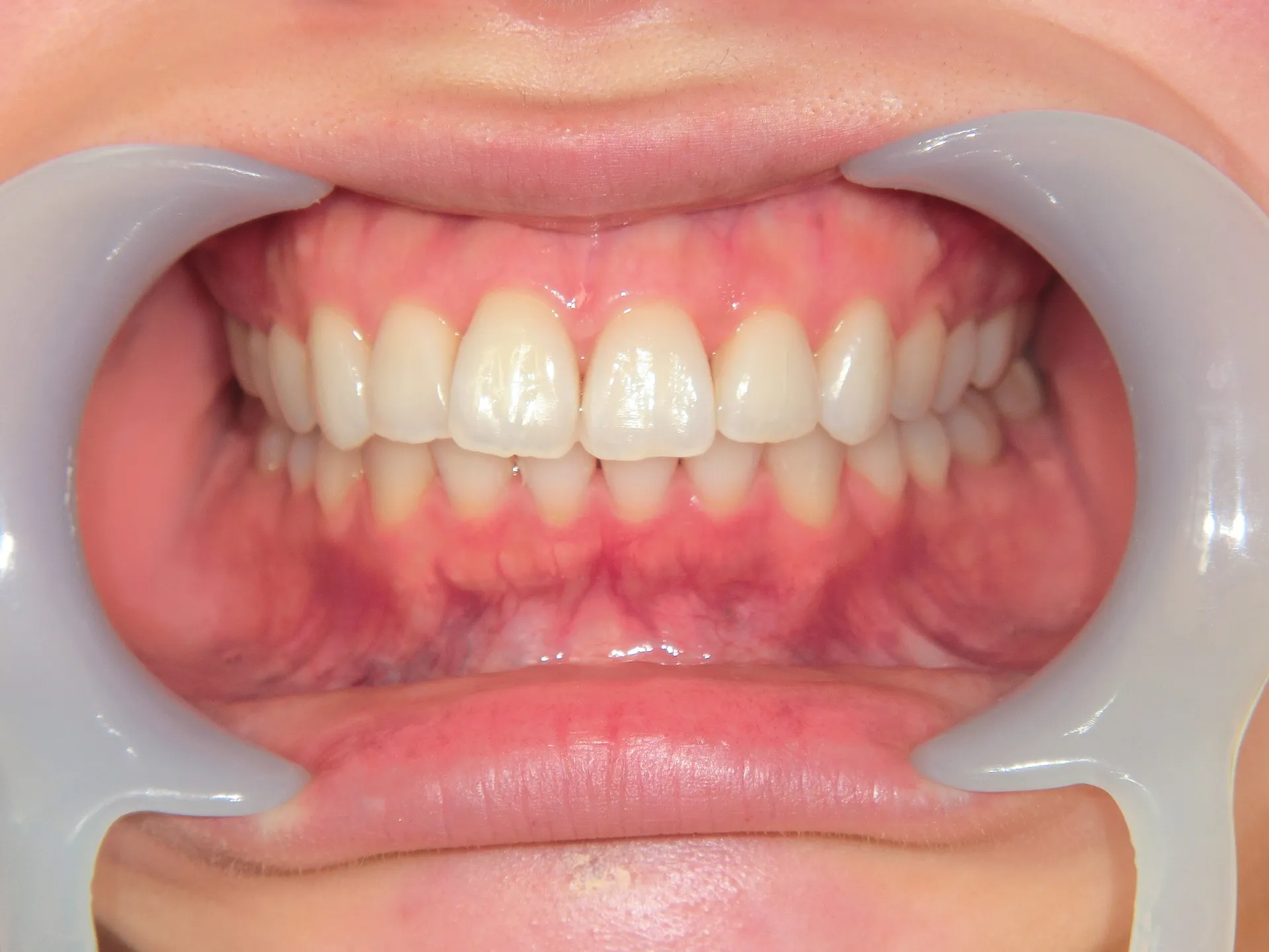
地域に密着した歯科医院として、神戸で患者様一人ひとりに寄り添った治療を行っております。治療の際は、患者様に適切な選択肢をご提示すること、お気持ちを汲み取り、無理強いはしないことを大切にしており、患者様目線の対応を徹底いたします。また、必要に応じて表面麻酔を使用する等、痛くない治療を心がけているため、歯科治療がご不安な方も安心してご相談ください。なお、院長はインプラント指導医の資格を持っているほか、インビザドクター認定のプラチナプロバイダーでもあり、インプラント治療や矯正治療にも対応しております。
対応している治療内容について掲載
Menu
一般歯科のほか、予防歯科や審美歯科などの幅広い診療に対応しております。
また、お子様の治療にも対応しており、ご家族の皆様で通っていただけます。
お口の健康に関する
様々な情報を発信中
Blog
歯や歯茎のこと、治療に関することなど、お口の健康を守るうえで役立つ情報を中心に、ブログで発信しております。
気になる方は、手軽な情報収集としてご覧いただけます。
業界について学べる
コラム記事を掲載
Column
業界の現状や知っておくと役立つ知識などをまとめ、掲載しております。
どなたにもわかりやすいよう、専門用語はできるだけ使わずに、わかりやすい言葉で解説しています。
地域の患者様のかかりつけの歯科
Feature
お口の健康をトータルサポートしている歯科医院として、神戸で口内に関する幅広い治療に対応しております。
歯を長く健康に保っていけるよう、患者様一人ひとりに合わせた適切な治療をご提案いたします。
Calendar
診療予定
当院の口コミはこちら
Reviews
着用汚れがすごくとれて、歯が綺麗になりとても良かった
(Translated by Google)
It removed a lot of stains from wearing it and my teeth became very clean, which was great.
オオムライッペイ
矯正治療でお世話になりました。
元町の便利なロケーションで無理なく通えました。院内もきれいで、スタッフの皆さんも雰囲気がよかったです。歯並びも2年にほどの治療の末、満足いく仕上がりにしていただきました。
今後も歯の掃除でお世話になるつもりです。
(Translated by Google)
I received orthodontic treatment here.
The convenient location in Motomachi made it easy to visit. The clinic was clean, and the staff all had a friendly atmosphere. After about two years of treatment, I was very satisfied with the results of my teeth alignment.
I plan to continue receiving teeth cleanings here in the future.
梁瀬光晴
矯正でお世話になっています。
とても丁寧な対応で、治療も満足しています。
(Translated by Google)
I am receiving orthodontic treatment here.
They are very polite and I am very satisfied with the treatment.
鈴木さん
無料カウンセリングへ行って、院長さんも歯科衛生士?の方も素敵な方かなと思っていたのですが、最後レントゲン代だけいただきますと言われ支払いました。矯正について色々教えていただいたのですが、レントゲンを撮った後に言われると支払うしかなくなるので、最初に言ってほしかったです。
(Translated by Google)
I went to a free consultation and thought the director and dental hygienist were both nice people, but at the end I was told that I would only need to pay for the X-rays, so I paid. They explained a lot about orthodontics, but if they told me after the X-rays, I would have had no choice but to pay, so I wish they had told me at the beginning.
Takuma
マウスピース矯正でお世話になりました。
一年もかからず歯並びがキレイになって自信を持って笑顔を見せられるようになりました!毎回実家に帰ったかのようなアットホームな雰囲気と先生の丁寧な施術に大満足です。矯正しようか悩まれてる方にはぜひ相談だけでも行ってみてください!
(Translated by Google)
I received mouthpiece orthodontics.
In less than a year, my teeth were straightened and I can now smile with confidence! I'm very satisfied with the homely atmosphere that makes me feel like I'm back home every time and the doctor's careful treatment. If you're wondering whether to get orthodontic treatment, I recommend you come in even just for a consultation!
いま
複数件回って見積りをもらって、ここに決めました。決め手は追加料金無しで納得いくまでできるところでした。(期間に定めはありますが)
妊娠出産を迎えた時、悪阻で気持ち悪いかったり、出産の時は長時間外してしまい、うまく歯が動かない時もありました。その際、こちらでは嫌な顔せず、作り直していただきました。人生のターニングポイントと矯正が被り、不安もありましたがお腹が大きい状態でも気遣って頂き、安心して矯正と妊娠〜育児を並行してできました。今では綺麗になった歯で子どもと写真を撮ったりできるので、矯正を始めたタイミングも歯医者も間違っていなかったと思っています。
(Translated by Google)
After getting quotes from several places, I decided on this one. The deciding factor was that they offered no additional fees and would work until I was satisfied (although there was a set time frame).
When I was pregnant and giving birth, I felt nauseous due to morning sickness, and sometimes I had to remove my braces for too long during childbirth, which caused my teeth to not move properly. This happened to me, and they remade them without any complaints. I was worried because my orthodontic treatment coincided with a turning point in my life, but they were considerate even when my belly was large, so I was able to balance my orthodontic treatment with pregnancy and childcare at the same time with peace of mind. Now I can take photos with my child with my beautiful teeth, so I'm confident that I made the right decision in terms of timing and choosing the right dentist.





坂口柚樹